Здоров’я
Харчова алергія: алергічна висипка у дитини Отже, харчова алергія алергічна висипка у дитини — з ким не трапилося таке в родині? Як ці раптові плями, які
Все, що потрібно знати про халязіон у дитини Халязіон у дитини – це тихий непроханий гість, що приходить без запрошення і викликає немало тривоги у батьків.
У дитини болить голова: що робити і як допомогти? Що робити, коли у дитини болить голова У дитини болить голова. Що робити батькам? З цими питаннями стикаються
У дитини 7 років болить голова: що робити? Йдеш коридором, а тут… твоя дитина 7 років. Болить голова, каже. Думаєш, це щось серйозне?
Фонова ретинопатія та ретинальні судинні зміни Фонова ретинопатія та ретинальні судинні зміни — ці терміни вже закарбувалися в пам’
Як впоратися, коли у дитини болить вухо? Ось він той момент, якого батьки часто бояться, — ваша дитина раптом підходить зі сльозами на очах і каже: “
Фімоз у дитини: що це таке і як впоратися? Фімоз у дитини — це страшне слово, яке багатьох батьків може налякати. Наука каже, що це звуження крайньої плоті
Причини та наслідки: у дитини почервонілі очі У дитини може раптово з’явитися почервоніння очей, і це збентежить кожного з батьків.
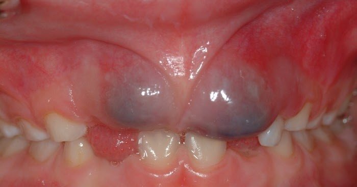
Флюс у дитини: що робити, якщо виникла проблема? Флюс у дитини — це проблема, яку багато батьків стикалися хоча б раз. Але що ж насправді відбувається
Тромбоцити підвищені у дитини: про що це може свідчити? Почнемо без зайвих прелюдій: якщо ви помітили, що тромбоцити підвищені у дитини, це може бути сигналом









