Пневмофібротичні зміни в легенях
Пневмофібротичні зміни в легенях… Звучить як вердикт. Дещо моторошно. Але, якщо відверто, це лише медичний термін. Насправді, багато хто з нас навіть знає, про що йдеться, хоча не завжди пов’язує його з диханням.
Що таке пневмофіброз?
Поговоримо без зайвих викрутасів: це про патологічне перетворення легеневої тканини, коли вона заміщується сполучною. Уявіть, що ваші легені — це губка. У здоровому стані вона здатна втягувати й випускати повітря легко й без зусиль. Пневмофіброз робить цю губку менш гнучкою, менш міцною. І якби це був лише косметичний дефект…
- Зниження гнучкості легеневої тканини.
- Утруднене дихання.
- Ризик серйозніших уражень.
Чесно, звучить страшніше, ніж воно є зазвичай. Але не варто недооцінювати! Бо ці зміни можуть пройти непомітно, як крадучи дихання…
Причини виникнення
Чому ж наші легені вирішують “затверднути”? Це питання варте уваги. Відверто: причин безліч — і ми подивимося на них уважніше.
- Експозиція до шкідливих речовин: тривалий контакт із токсинами, хворобливі речовини, які можна вдихати.
- Інфекції: деякі інфекції здатні стимулювати процес заміщення тканини.
- Аутоімунні захворювання: коли організм сам себе атакує.
- Генетичні фактори: ігри з генами, які можуть викликати зміну тканин.
- Лікарські препарати з побічними дихальними ефектами.
Інколи здається, що наше тіло вирішує самотужки перевиховатися всупереч нашому бажанню. Якось, дихай не дихай, але процес пішов…
Симптоми пневмофіброзу
Здебільшого люди можуть довго не звертати увагу на сигнали організму. Давайте погодимося: хто ж думає про це, якщо, здавалося б, нічого не болить? Але є декілька моментів, які варто мати на увазі.
- Задишка: від сну до зусиль, це перший тривожний дзвіночок.
- Сухий кашель: дратує, а головне — незрозуміло звідки.
- Втома: вбита енергія, ви ж і не згадаєте, коли востаннє пробіглися.
- Втрата ваги: організм намагається позбутися баласту?
- Грудна болючість: дзеркало процесів у легенях.
Коли ми говоримо про такі симптоми, згадуємо найбільш невинні з них. Як відома істина: чим раніше захватишся до цього, тим легше жити.
Діагноз і лікування
Перш ніж робити висновки, важливо проголосити: сучасна медицина здатна багато на що. Але піти до лікаря і сказати: “А можна якось перевірити легені?” — це нормально.
Діагностика може включати кілька етапів:
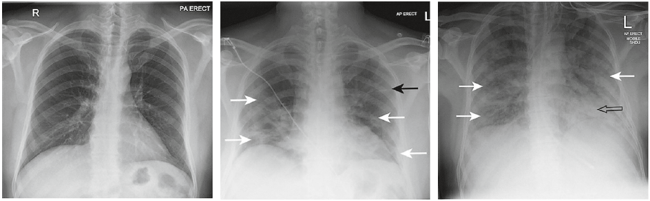
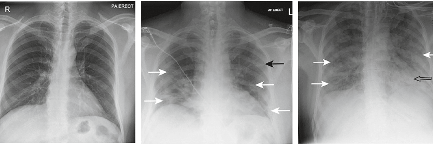
- Рентгенографія грудної клітки: щоб побачити те, чого не видно неозброєним оком.
- Комп’ютерна томографія (КТ): високотехнологічний підхід до вивчення легеневих глибин.
- Функціональні тести легенів: перевірка здатності легенів працювати.
- Біопсія легенів: якщо необхідно детальніше вивчити зміни.
Із лікуванням, як завжди, індивідуально:.
- Медикаментозна терапія: допомагає полегшити симптоми й уповільнити процеси.
- Фізіотерапія: дихальні вправи, які відновлюють частину втрачених можливостей.
- Киснева терапія: підтримка рівня кисню в крові.
- Хірургічне лікування: крайні варіанти, як пересадка легенів.
Життя з пневмофіброзом
Так, це не кінець світу. Головне забезпечити собі підтримку. Ваші легені можуть мати проблеми, але це не означає, що ви не можете жити повноцінним життям.
Поради для покращення якості життя
- Позбавтеся від шкідливих звичок: так, нікотин не ваш друг.
- Регулярні фізичні навантаження: тільки без фанатизму.
- Слідкуйте за якістю повітря: домашні рослини вам в поміч.
- Спілкуйтеся: підтримка важлива.
- Регулярні візити до лікаря: не намагайтесь бити всі рекорди довіри.
Підтримка зменшує стрес…
Зачекайте, чи не про це ми весь час балакаємо? Наше тіло — не машина. Це неймовірний складний механізм, який може бути чутливим до різних речей. Іноді, все, що потрібно, це трохи більше любові до себе. Це кредо сучасної медицини: розуміння, підтримка, адаптація.
| Фактор | Вплив на легені |
|---|---|
| Куріння | Збільшує ризик фіброзу і ускладнює дихання. |
| Токсини | Індукують патологічні зміни тканин. |
| Інфекції | Можуть викликати та посилювати фіброз. |
Пневмофібротичні зміни в легенях
От ми і повернулися до того, з чого починали. Це може здаватися складним і навіть лякаючим, але дізнаватися більше — це перший крок до розуміння. І це єдине, що насправді варте зусиль! Щоб не задихатися ми маємо дихати глибоко — і знати…







