Що Таке Вузли в Легенях
У сучасній медицині питання що таке вузли в легенях часто виникає серед пацієнтів, які стикаються з необхідністю діагностики цього стану. Це явище досить поширене і може бути виявлене під час комп’ютерної томографії грудної клітини. Вузли в легенях представляють собою невеликі утворення, які можуть мати різну природу: доброякісну, злоякісну або запальну.
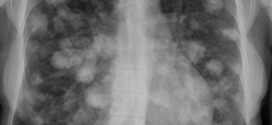
Поняття Вузлів у Легенях
Вузли в легенях, які часто називають легеневими вузликами, є стрічковими або сферичними ділянками ущільнення у тканинах легенів. Ці утворення можуть варіювати в розмірі – від 2 міліметрів до 30 міліметрів. Важливо розуміти, що наявність вузла в легенях не завжди вказує на рак легенів; більшість вузлів є доброякісними, проте близько 40% випадково виявлених вузлів у осіб старше 50 років можуть бути злоякісними.
Причини Виникнення Вузлів
Причини виникнення вузлів у легенях різноманітні, і їх категоризація може варіюватися залежно від медичного контексту. Основні з них включають:
- Інфекції: бактеріальні, вірусні або грибкові, такі як туберкульоз, пневмонія, гістоплазмоз;
- Запальні захворювання: саркоїдоз, ревматоїдний артрит;
- Неоплазії: первинний рак легенів, або метастази з інших органів;
- Інші причини: доброякісні утворення, наприклад, гамартоми, або пневмоконіози.
Діагностика Вузлів у Легенях
Діагностика вузлів у легенях є важливим кроком для визначення їх природи та подальшого лікування. Основні методи діагностики включають:
Клінічний Огляд та Традиційні Методи
- Рентгенографія грудної клітини: початковий метод обстеження, що дозволяє виявити знаки вузлів;
- Комп’ютерна томографія (КТ): здатна надавати більш детальну картину та розглядати структурні зміни в легеневій тканині;
- Позитронно-емісійна томографія (ПЕТ): використовується для оцінки активності метаболізму в вузлах та виявлення можливих злоякісних процесів.
Додаткові Дослідження
- Біопсія: дозволяє отримати зразки тканин для гістологічного аналізу;
- Бронхоскопія: ендоскопічний метод дослідження стану дихальних шляхів з можливістю взяття матеріалу для аналізу;
- Аналізи крові: можуть допомогти виявити інфекції та запальні процеси.
Лікування Вузлів у Легенях
Тактика лікування вузлів у легенях залежить від їх розмірів, характеру та причини появи. Основні підходи включають:
| Метод Лікування | Опис |
|---|---|
| Спостереження | Періодичне спостереження під КТ для оцінки змін вузлів у динаміці. |
| Медикаментозна терапія | Застосування антибіотиків чи противірусних препаратів у випадку інфекційних процесів. |
| Хірургічне втручання | Видалення вузлів, що мають високий ризик злоякісності, особливо якщо є підозра на рак. |
| Хіміотерапія та радіотерапія | Використовуються для лікування злоякісних утворень. |
Профілактика Вузлів у Легенях
Профілактика вузлів у легенях може включати заходи, спрямовані на зниження ризику розвитку злоякісних новоутворень та інфекційних захворювань:
- Регулярне медичне обстеження: особливо у людей з підвищеним ризиком раку;
- Відмова від куріння: сигаретний дим є одним з основних факторів ризику розвитку раку легенів;
- Вакцинація: проти грипу та пневмонії для зниження ризику респіраторних інфекцій;
- Правильне харчування: збалансована дієта, багата на овочі та фрукти, сприяє зміцненню імунної системи.
Особливості Прогнозу при Вузлах у Легенях
Прогноз при виявленні вузлів у легенях залежить від багатьох факторів, таких як розмір і природа утворення, вік та загальний стан здоров’я пацієнта. Чимало вузлів мають доброякісний характер і не потребують агресивного втручання, але важливо уважно стежити за їх динамікою. У разі підозри на злоякісні процеси обстеження та лікування повинні бути негайно забезпечені.
Висновки
Таким чином, що таке вузли в легенях − це питання, яке охоплює важливий медичний аспект, що вимагає комплексного підходу до діагностики та лікування. Попри те, що не всі вузли є злоякісними, їх своєчасне виявлення та оцінка можуть мати значний вплив на довгострокове здоров’я пацієнтів. Здоровий спосіб життя та регулярні медичні огляди залишаються ключовими для запобігання та вчасної ідентифікації можливих патологій у легенях.







