Хвороба Бінсвангера: лікування і його виклики
Коли мова йде про хвороба Бінсвангера, лікування стає справжнім викликом для лікарів і пацієнтів. Цей стан характерний для людей літнього віку, хоча може з’явитися і в більш ранньому віці. Хочеться сказати, що то не просто статистика, а реальність, де кожен випадок унікальний.
Що таке хвороба Бінсвангера?
Справжня медична загадка — хвороба Бінсвангера. Вона належить до групи судинних деменцій і викликається змінами в дрібних судинах мозку. Конкретніше, ішемічні атаки призводять до пошкодження білої речовини мозку. Це, зрештою, впливає на когнітивні функції, змінює поведінку людини, і це… ну, не ковток свіжого повітря, якщо чесно.
Клінічні прояви
- Погіршення пам’яті та концентрації
- Зміни настрою, дратівливість
- Проблеми з рухом і координацією
- Порушення мовлення
Отже, ознаки виразні. Життя змінюється на до і після.
Лікування хвороби Бінсвангера
Ось тут і починається — виклик. Лікування хвороби Бінсвангера не має універсального підходу. Що робити? Дослідження тривають, але рішення все ще не виявлено. Іноді лікування носить експериментальний характер.
Основні методи лікування
- Судинна терапія: Розглядаються препарати для покращення кровообігу. Це не завжди працює, але… спроба не катування.
- Когнітивна терапія: Залучення мозку до правдивих задач. Там, де є можливість, допомагає психолог і логопед.
- Фізіотерапія: Рух, рух, і ще раз рух. Фізичні вправи спрямовані на покращення координації і рівноваги.
І знаєте, що ще цікаво? Підтримка сім’ї та друзів. Це, можливо, і не медичний засіб, але кого це хвилює, якщо це допомагає?
Чому складно створити ефективне лікування?
А ви думали, що медики просто качаються на легкій хвилі? Гм… ось де реальна боротьба. Причина – складність вивчення та діагностики хвороби Бінсвангера. Симптоми можуть нагадувати інші форми деменції, такі як хвороба Альцгеймера. Іншими словами, мозок вимагає більше часу на спроби відрізнити одне від іншого.
Недостатність досліджень
Питання часу, ресурсів… щось в такому дусі. Ознак багато, досліджень мало. Чесно… може, усе б було простіше, якби більше уваги.
Сподівання на майбутнє
Ба більше. З розвитком технологій з’являються нові можливості. Генетичні дослідження можуть відкрити нові двері для ефективного лікування. А може, не тільки для цього…
Обнадійливі технології
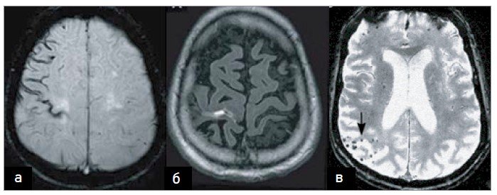
Магнітний резонанс? Геніально. Це допомагає виявити найменші зміни в мозку. Медицині важливо не здаватися на півдорозі.
На завершення, хочеться наголосити на важливості ранньої діагностики. Коли хвороба Бінсвангера показує перші ознаки, можливість вплинути на ситуацію є. Так, це нелегко… але ніколи не відомо, що може бути завтра, правда?







