- Які прищі при вітрянці: розпізнавання та лікування цього поширеного захворювання
- Що таке вітряна віспа?
- Основні симптоми вітряної віспи
- Як виглядають прищі при вітрянці?
- Стадії висипань
- Як розрізнити вітряну віспу від інших захворювань?
- Профілактична діагностика
- Лікування вітряної віспи
- Що помогти, якщо свербить?
- Подальші заходи безпеки
- Вакцинація: запобіжний крок
- Наслідки та ускладнення
- Ветрана віспа: страхи та реальність
Які прищі при вітрянці: розпізнавання та лікування цього поширеного захворювання
Вітряна віспа — одне з тих захворювань, про які ми всі чули. Але от які прищі при вітрянці? Як розпізнати ці специфічні висипання і що робити, коли ти чи твоя дитина відчуває перші симптоми? Давайте розбиратися.
Що таке вітряна віспа?
Вітряна віспа — це гостре інфекційне захворювання, яке викликається вірусом Varicella-Zoster. Найчастіше воно трапляється у дітей, але може уразити і дорослих. Вірус передається повітряно-крапельним шляхом, а іноді й через прямий контакт з висипаннями.
Основні симптоми вітряної віспи
- Лихоманка
- Слабкість
- Головний біль
- Характерні висипання або ж які прищі при вітрянці
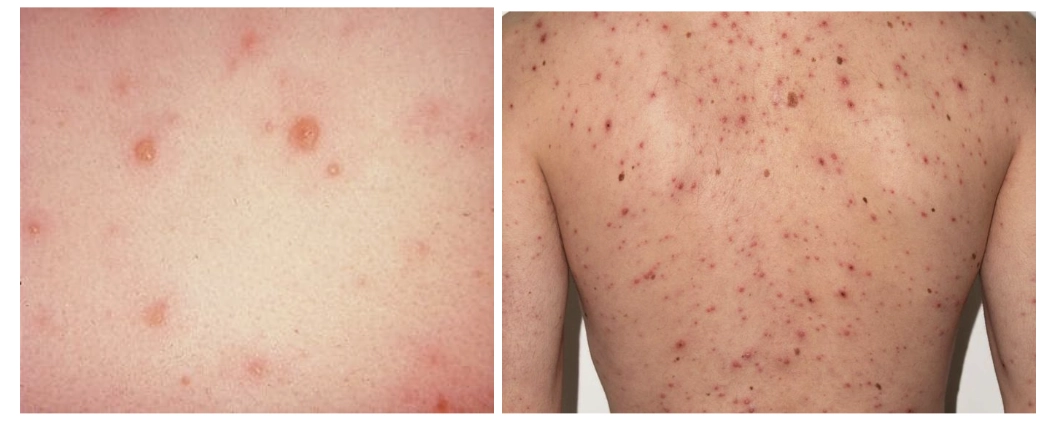
Як виглядають прищі при вітрянці?
Спочатку з’являються маленькі червоні плями. Вони швидко перетворюються на пухирці, наповнені рідиною. Через кілька днів ці пухирці подсихають і утворюються корочки. Типовий цикл може тривати від 5 до 10 днів, а іноді й довше.
А які ж вони, ті прищі при вітрянці? От ви бачили коли-небудь маленькі водянисті пухирці, які так і хочеться почухати? О, не варто! Це саме вони. І викликана ними сверблячка — то вже інша історія.
Стадії висипань
- Плями — спочатку з’являються на обличчі та скальпі, потім швидко поширюються по всьому тілу.
- Пухирці — наповнюються ясно-жовтою рідиною, поверхня може легко розриватися.
- Корочки — висипання підсихають, утворюючи кірочки, які з часом відпадають.
Як розрізнити вітряну віспу від інших захворювань?
Іноді вітряна віспа може бути схожа на інші види висипань, такі як корова або краснуха. Але чи є тут якісь особливості? Звичайно!
Таблиця відмінностей:
| Захворювання | Характер висипань |
|---|---|
| Вітряна віспа | Водянисті пухирці на червоній основі |
| Корова | Висипання на шкірі з яскравим червоним кольором |
| Краснуха | Помілкуватий рожевий висип |
Профілактична діагностика
Якщо ви підозрюєте, що захворіли на вітряну віспу, краще звернутися до фахівця. Лікарі проводять діагностику на основі загального вигляду висипань, а також можуть призначити аналіз на наявність антитіл до вірусу.
Лікування вітряної віспи
Здебільшого вітряну віспу лікують симптоматично — стараються зменшити свербіж та прискорити загоєння висипань.
Що помогти, якщо свербить?
- Антигістамінні препарати
- Охолоджувальні ванни з содою або колоїдним вівсом
- Місцеві засоби на кшталт лосьйонів з каламіном
Чи допомагають ці засоби? Здебільшого так. Але найважливіше — це терпіння. Так, це не зовсім те, що ти хочеш почути… Але з часом все пройде.
Подальші заходи безпеки
Для запобігання розповсюдження інфекції варто дотримуватись деяких заходів безпеки:
- Ізоляція хворого
- Дотримання гігієни
- Уникнення контакту з вагітними та немовлятами
Вакцинація: запобіжний крок
У багатьох країнах вакцинація проти вітряної віспи є частиною обов’язкової програми щеплень для дітей. Це допомагає уникнути зараження або зменшити важкість захворювання.
Наслідки та ускладнення
Попри те, що більшість дітей легко переносить вітрянку, у неї можуть бути серйозні наслідки. Особливо, якщо захворює дорослий. Такі як… Не будемо лякати, але краще попередити ніж лікувати.
Серед можливих ускладнень можна виділити:
- Суперінфекція шкіри через розчісування
- Пневмонія
- Енцефаліт
Залишається запитання: що обрати? Вакцинуватися чи не варто? Тут кожен вирішує сам. Але все більше людей вибирають безпеку.
Ветрана віспа: страхи та реальність
Вітрянка здавна налякала багатьох батьків. Але… Більшість страхів — безпідставні. Завдяки сучасній медицині, це захворювання добре контролюється. А ті самі прищі? Ну, вони не такі страшні, як здаються.
Отже, які прищі при вітрянці? Ті, що швидко проходять. Ті, що залишають після себе лише спогади. І гарне знання про те, як впоратися з цією хворобою. Все буде добре, обіцяємо!







