Ровная белоснежная улыбка давно перестала быть привилегией знаменитостей. Сегодня исправить форму, цвет и мелкие дефекты передних зубов можно за несколько визитов к стоматологу — и сделать это без многолетнего ортодонтического лечения. Речь, конечно, о винирах. Но прежде чем решиться на установку, стоит разобраться, что это такое, когда виниры действительно нужны и какие нюансы важно учесть.
Что такое виниры и чем они отличаются от других реставраций
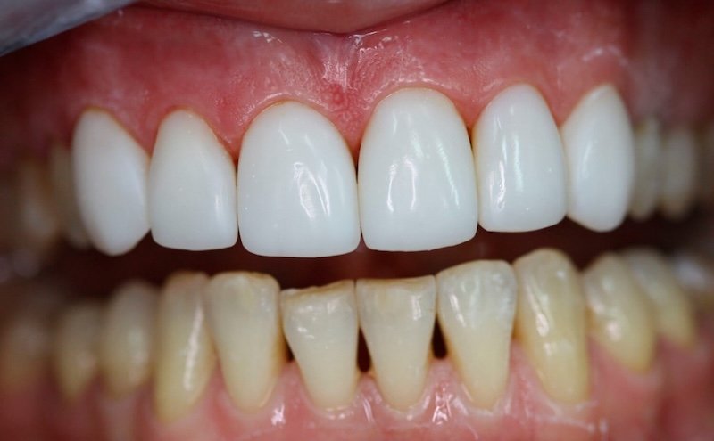
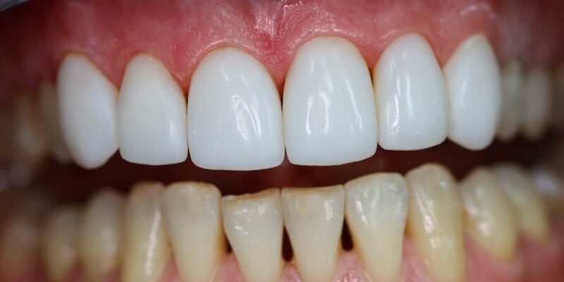
Винир — это тонкая накладка на переднюю поверхность зуба, которая закрывает видимые дефекты и меняет визуальный вид улыбки. В отличие от коронки, которая охватывает зуб со всех сторон, винир фиксируется только на фронтальной части. Это позволяет сохранить большую часть собственной эмали.
Часто виниры путают с люминирами и коронками. Люминиры — это ультратонкие накладки, которые не требуют обточки, но подходят не всем. Коронки же применяются при серьёзных разрушениях зуба, когда сохранить живую ткань без полного покрытия уже невозможно. Подробнее об отличиях и о том, какие варианты доступны в клинике, можно прочитать на сайте https://kiralex.dental/ru/viniry/.
Основные виды виниров
- Керамические — изготавливаются из прессованной керамики или диоксида циркония. Служат 15-20 лет, не темнеют со временем, обладают высокой прозрачностью и естественным блеском.
- Композитные — создаются прямо во рту пациента из пломбировочного материала. Бюджетный вариант, но служат меньше — около 5-7 лет, со временем могут тускнеть.
- Циркониевые — самые прочные, идеально подходят для жевательной нагрузки и людей со склонностью к бруксизму.
Кому показаны виниры, а кому лучше рассмотреть альтернативу
Несмотря на универсальность, виниры — это не решение абсолютно всех эстетических проблем. Есть чёткие показания, при которых они работают лучше всего.
Винирование оправдано, если у вас:
- потемневшая эмаль, которая не поддаётся отбеливанию (например, после приёма тетрациклина);
- небольшие сколы на передних зубах;
- щели между зубами (диастема, тремы);
- неровная форма или размер отдельных зубов;
- старые пломбы, потерявшие цвет и нарушающие вид улыбки.
А вот при серьёзных проблемах с прикусом, разрушении зуба более чем на 50% или при активной стадии пародонтита установка виниров нецелесообразна. В таких случаях врач сначала направит на ортодонтическое или терапевтическое лечение.
Что происходит на приёме
Первичная консультация обычно длится 30-45 минут. Врач оценивает состояние зубов, делает снимки, обсуждает с пациентом ожидания. Очень важный момент — цифровой макет будущей улыбки. Современные клиники используют программы для моделирования результата, чтобы пациент увидел, как именно изменится лицо, ещё до начала работы.
Сама процедура установки проходит в два-три визита:
- Препарирование. Стоматолог снимает тонкий слой эмали (обычно 0,3-0,7 мм), делает слепки или сканы.
- Изготовление. Виниры создают в зуботехнической лаборатории. На этот период пациент носит временные накладки.
- Фиксация. Готовые виниры примеряют, корректируют и крепят на специальный стоматологический цемент.
Сколько служат виниры и как за ними ухаживать
При правильном уходе керамические виниры служат 15-20 лет, а иногда и дольше. Но многое зависит от привычек пациента. Если вы часто открываете зубами бутылки, грызёте орехи или скрипите зубами во сне — срок службы заметно сократится.
Основные правила ухода не сложнее обычных:
- чистить зубы дважды в день мягкой щёткой и неабразивной пастой;
- пользоваться флоссом и ирригатором;
- раз в полгода приходить на профессиональную чистку;
- если есть бруксизм — спать в защитной капе;
- не грызть твёрдые предметы передними зубами.
Также стоит помнить: виниры не меняют цвет, поэтому если вы планируете сначала отбелить остальные зубы, а потом устанавливать накладки — это правильный порядок действий. Иначе оттенок соседних зубов может отличаться.
На что обращать внимание при выборе клиники
Винирование — это тонкая работа, которая требует не только опыта стоматолога, но и качественного оборудования, а также совместной работы с зуботехнической лабораторией. При выборе клиники стоит учитывать:
- наличие цифрового планирования улыбки (Digital Smile Design);
- собственную или проверенную партнёрскую зуботехническую лабораторию;
- опыт врача именно с эстетической реставрацией, а не только с общей стоматологией;
- реальные портфолио работ «до/после», а не только стоковые фото;
- чёткое объяснение плана лечения, альтернатив и гарантий.
Для жителей Киева хорошим вариантом будет ознакомиться с услугами на сайте https://kiralex.dental/ru/ — там можно найти подробную информацию о процедурах, врачах и записаться на консультацию онлайн.
Виниры — это современный способ быстро изменить улыбку без длительного лечения. Но их установка должна быть осознанным решением, основанным на консультации с врачом, а не импульсивным желанием «сделать как у звёзд». Хороший стоматолог всегда объяснит, действительно ли вам нужны виниры, или достаточно более простых процедур — отбеливания, художественной реставрации или выравнивания прикуса капами. Главное — не экономить на консультации и выбирать клинику, где работают именно с эстетической стоматологией.







